
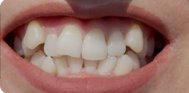
The Common Treatment For Crowding
Here are the common treatments for crowding teeth: 1. Braces: Metal or ceramic brackets and wires that straighten teeth over time. 2. Clear Aligners: Removable, transparent trays that gradually align teeth (e.g., Invisalign). 3. Orthodontic Appliances: Devices like palatal expanders or retainers to correct crowding. 4. Tooth Extraction: Removing one or more teeth to create space for proper alignment. 5. Dental Bonding: Reshaping teeth with composite resin to improve appearance. 6. Veneers: Thin layers of porcelain or composite resin to enhance tooth shape and alignment. 7. Retainers: Customized devices to maintain alignment after treatment. 8. Surgery: In severe cases, surgical orthodontics may be necessary to correct underlying issues. Consult an orthodontist or dentist to determine the best treatment plan for your specific case. Samarth dental clinic….. Dental clinic near me… Best dental clinic…… Dentist near me…… |