
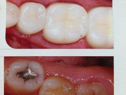
How the Dental Fillings Help You to Restore a Tooth
Dental Fillings a filling helps to restore a tooth damaged by decay back to its normal function and shape ,and helps prevent further decay by eliminating areas where bacteria can enter the tooth . there are various types of fillings available ranging from silver to tooth colored fillings. Your dentist will be able to suggest the best filling for your tooth.
How a filling is done? First,the dentist will numb the decayed tooth or teeth to be treated using a local anesthetic that is injected into the area,the anesthetic also numbs gums and jaw around the teeth once the dentist confirms your numb ,they use a dental drill to remove the decay.after your dentist removes the decay and readies the tooth,they place the filling |