
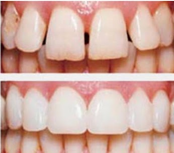
Treating Spacing in Teeth
Treating spacing in teeth, also known as gaps or diastema, can be achieved through various dental and orthodontic options. Here are some common treatments: 1. Orthodontic treatment: Braces or clear aligners can close gaps by moving teeth into proper position. 2. Dental bonding: A tooth-colored resin is applied to fill small gaps. 3. Veneers: Thin layers of porcelain or composite resin can cover teeth, closing gaps. 4. Crowns: Custom-made caps can cover teeth, correcting gaps and other imperfections. 5. Dental implants: For missing teeth, implants can fill gaps and restore natural appearance. 6. Retainers: Customized devices can maintain tooth position after orthodontic treatment. 7. Invisalign: Clear aligners can straighten teeth and close gaps. Consult a dentist or orthodontist to determine the best treatment plan for your specific case. Remember, it’s essential to address tooth gaps to prevent oral health issues, improve self-confidence, and enhance your smile! Samarth dental clinic, sadguru krupa bulding Hinjewadi dange chauk road, near maruti tempal, Hinjewadi goanthan, contact number 9175368882 |